Thời tiết miền Bắc đang vào những tháng cao điểm của mùa hè, kèm theo dịch bệnh Covid - 19 kéo dài nên trẻ nhỏ thường chơi trong nhà nhiều, hay khát nước. Do đó tiềm ẩn nguy cơ trẻ uống nhầm thuốc, hóa chất đựng trong chai lọ, đặc biệt đựng trong các chai nước giải khát, nước súc miệng.
- Trong vòng 2 tuần cuối tháng 6 vừa qua, Khoa Nhi BVĐK Đông Anh đã tiếp nhận 2 bệnh nhi với bệnh cảnh:
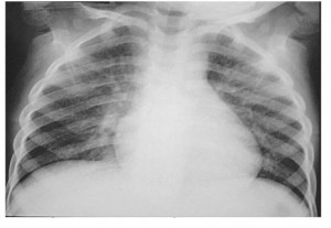
Một trẻ 4 tuổi vào viện vì uống nhầm dầu hỏa giờ thứ 1. Trẻ sau khi ngủ dậy, thấy khát nước đã uống dầu hỏa (không rõ số lượng) đựng trong chai Lavie. Sau đó trẻ ho sặc sụa, mẹ trẻ thấy vậy đã móc họng gây nôn khiến trẻ ho sặc nhiều hơn. Sau khi chụp X- quang phổi, bác sĩ nhận định đây là tình trạng Viêm phổi hít do sặc dầu hỏa. Trẻ có chỉ định dùng kháng sinh, mặc dù lâm sàng trẻ chưa có biểu hiện gì đặc biệt. 48 giờ sau, X- quang phổi của trẻ cho thấy tổn thương phổi tăng lên, trẻ bắt đầu xuất hiện ho húng hắng. Sau 6 ngày điều trị, tổn thương phổi trên X- quang giảm ít, trẻ bắt đầu ho nhiều hơn, có sốt. Điều đó cho thấy tổn thương viêm phổi hít do sặc dầu hỏa rất nặng nề, nguy cơ bội nhiễm cao và cần điều trị kéo dài.
Trẻ thứ hai 6 tuổi nhập viện vì uống nhầm nước tẩy rửa Javen được cất trong chai nước súc miệng, trẻ chưa nuốt, nhổ ra luôn. Trẻ đã được súc miệng nhiều lần bằng nước sạch. Sau thăm khám, trẻ có tình trạng viêm loét họng cấp do uống chất tẩy rửa. Thật may mắn là trẻ chưa nuốt, vì có thể gây viêm loét, bỏng dạ dày, thực quản gây biến chứng thủng, sẹo hẹp vô cùng nặng nề. Hiện tại trẻ đã ổn định và ra viện.
- Rất nguy hiểm khi trẻ uống hóa chất gia dụng:
Khi uống trẻ có thể hít hóa chất vào phổi hoặc nuốt vào đường tiêu hóa. Điều này khiến trẻ có nguy cơ bị viêm phổi hoặc bỏng, viêm loét đường tiêu hóa. Mức độ tổn thương nặng hay nhẹ tùy vào số lượng hoặc hóa chất trẻ uống phải và thời gian đưa trẻ đến bệnh viện sớm hay muộn.
Khi bắt gặp trẻ uống nhầm hóa chất xăng dầu, chất tẩy rửa, cha mẹ không tự ý gây nôn vì có thể gây sặc, hóa chất lan rộng, làm tổn thương nặng nề hơn. Mà cha mẹ cần cởi bỏ quần áo, lau sạch da cho trẻ (nếu hóa chất đổ ra quần áo, dính vào da), súc miệng nhiều lần bằng nước sạch rồi đưa trẻ đến cơ sở y tế gần nhất để được cáp cứu kịp thời và điều trị thích hợp.
- Để tránh cho trẻ uống nhầm hóa chất, nước tẩy rửa gia đụng các bậc phụ huynh lưu ý:
+ Chứa hóa chất trong những bình chứa riêng, có dán nhãn để tránh gây nhầm lẫn đối với người lớn và đặt ở nơi mà trẻ không thấy, không lấy được.
+ KHÔNG đựng chúng vào các chai nhựa, vật dụng vốn đựng nước uống, nước ngọt, nước súc miệng.
+ KHÔNG để trong khu vực trẻ em thường vui chơi, qua lại.
+ KHÔNG để trẻ nhỏ tự chơi một mình.

Nguồn: www.bvdkdonganh.com
